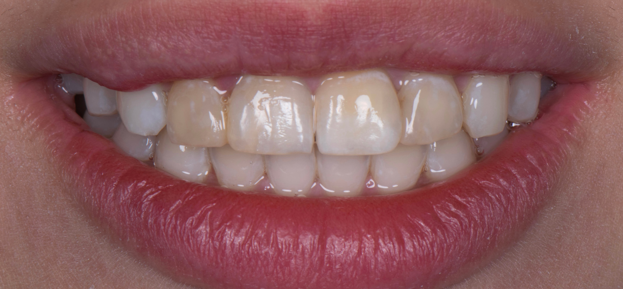
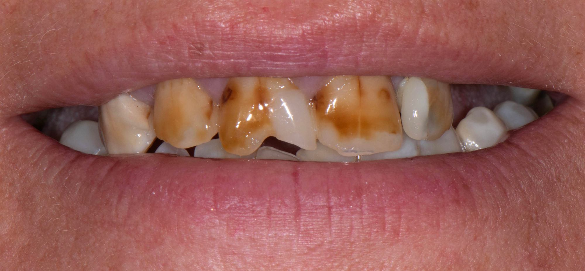
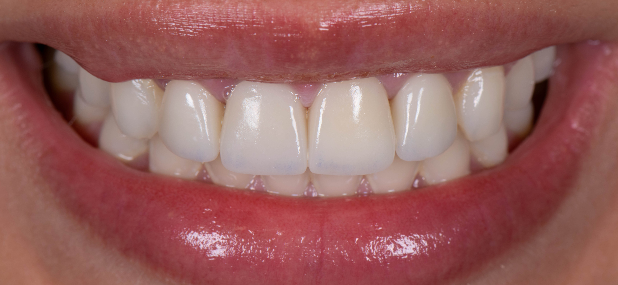
Discover amazing transformations with dental crowns and veneers for a perfect, healthy smile.






We restore functionality and aesthetics to your smile with modern prosthetics on premium dental implants.


See how mobile dentures restore smile, function and confidence.


We completely restore your smile and dental function for a lifetime of confidence and health.

Copyright © 2025. All rights reserved.